-
코미디계 대부 전유성 별세, 폐기흉이란 무엇인가? 중장년층이 꼭 알아야 할 폐 건강 신호시사 2025. 9. 27. 15:43
코미디계의 대부로 불리던 전유성 씨가 폐기흉으로 별세하며 많은 이들의 안타까움을 샀습니다. 이번 비보는 단순한 연예계 소식이 아니라, 중장년층에게 특히 위험한 폐 건강 문제를 돌아보게 하는 계기가 됩니다. 폐기흉이란 어떤 질환인지, 증상과 원인, 치료의 중요성은 물론, 일상 속에서 폐 건강을 지키기 위한 생활 습관까지 폭넓게 살펴보며 건강 경각심을 나눠봅니다.

🔹 전유성 별세, 남긴 교훈
최근 개그계의 큰 별, 전유성 씨가 폐기흉으로 별세했다는 소식이 전해지며 많은 이들이 안타까워했습니다. 그는 후배 사랑과 열정적인 무대 태도로 존경받아 왔기에, 그의 갑작스러운 별세는 더 큰 충격을 주었죠.
이 사건은 우리에게 한 가지 중요한 질문을 던집니다.
👉 “폐기흉이라는 질환은 무엇이며, 어떻게 예방할 수 있을까?”
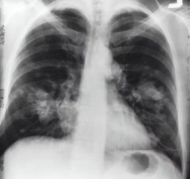
🔹 폐기흉이란 어떤 병인가?
**폐기흉(肺氣胸, Pneumothorax)**은 폐 안의 공기가 새어 나와 흉강(가슴막 안쪽 공간)에 고이면서 폐가 압박을 받아 정상적으로 팽창하지 못하는 상태를 말합니다.
주요 특징은 다음과 같습니다.
- 갑작스러운 가슴 통증
- 숨이 차고 호흡 곤란
- 심할 경우 기흉으로 인해 폐가 크게 눌리면서 호흡 부전 발생 가능
폐기흉은 젊은 층에서는 주로 체형(마른 체형)과 관련해 발생하지만, 중장년층에서는 폐 질환, 흡연, 노화로 인한 폐 기능 저하와 밀접하게 연결됩니다.

🔹 폐기흉의 주요 원인
- 자연 발생성(일차성 기흉)
- 특별한 외상이나 질환 없이 발생
- 주로 키가 크고 마른 젊은 남성에게 많음
- 이차성 기흉
- 폐기종, 만성폐쇄성폐질환(COPD), 폐결핵 등 기존 질환이 있는 경우
- 중장년층에서 특히 위험
- 외상성 기흉
- 교통사고, 흉부 외상 등 외부 충격에 의해 발생

🔹 폐기흉의 위험성과 합병증
폐기흉은 단순히 “숨이 차다” 정도의 가벼운 증상이 아닙니다. 치료가 늦어지면 심각한 합병증으로 이어질 수 있습니다.
- 폐가 심하게 눌려 호흡 불능 상태 발생
- 기흉이 반복되면서 폐 기능 저하
- 고령자나 기저 질환이 있는 환자에게는 치명적 위험
따라서, 중장년층은 갑작스러운 가슴 통증이나 호흡 곤란이 나타나면 지체 없이 응급실을 찾아야 합니다.

🔹 폐 건강을 지키기 위한 생활 습관
전유성 씨의 별세가 우리에게 주는 가장 큰 메시지는 “폐 건강을 지키는 습관의 중요성”입니다.
✅ 금연 실천 : 흡연은 폐기흉과 폐질환의 가장 큰 원인
✅ 규칙적인 운동 : 심폐 기능 강화, 호흡 근육 강화
✅ 정기 검진 : 특히 40대 이후에는 흉부 X-ray, CT 검사로 폐 질환 조기 발견
✅ 실내 공기 관리 : 미세먼지 많은 날에는 마스크 착용, 공기청정기 활용
🔹 결론: 유명인의 죽음에서 배우는 건강 교훈
전유성 씨의 별세는 단순히 한 사람의 죽음을 넘어, 우리 모두의 건강 관리 경각심을 일깨우는 사건입니다.
폐기흉은 누구에게나 발생할 수 있는 질환이며, 특히 중장년층에게 치명적일 수 있음을 잊지 말아야 합니다.👉 폐 건강은 지금부터라도 관리해야 한다는 것이 이번 사건이 남긴 교훈입니다.
함께 읽어보시면 좋아요!
'시사' 카테고리의 다른 글
외국인 집주인 보증금 사고 급증! 가장 많은 국적과 세입자 피해 예방법 (0) 2025.10.02 청소년 스마트폰 사용 제한, 득일까 실일까? 부모와 학생이 꼭 알아야 할 변화 (0) 2025.09.27 전산망 화재 사태, 내 생활은 어떻게 달라질까? 공공서비스 마비가 주는 교훈 (0) 2025.09.27 이걸 몰라서 생고생! 성시경·옥주현, 1인 기획사 논란의 진짜 이유 (0) 2025.09.17 내 월급 왜이래? 국민연금 인상 때문! (0) 2025.07.21